News
Location : Home > News>News>Industry News
Nutritional, Structural and Functional Properties of Proteins in Black Soldier Fly LarvaeHite [2757] Publish time :2023-11-21


image.png

Recently, an SCI paper has been published by Hu Wenfeng's team at South China Agricultural University and Xiao Shan's team at Dongguan University of Technology: Comparative study of the effects of ultrasound-assisted alkaline extraction on black soldier fly (Hermetia illucens) larvae protein: Nutritional, structural, and functional properties (超声辅助碱性提取对黑水虻幼虫蛋白质的营养、结构和功能特性影响的比较研究). The paper was published in Ultrasonic Sonochemistry, a regional journal of the Chinese Academy of Sciences, Impact factor 8.4.

 

 

1 Research Background

 

The Food and Agriculture Organization of the United Nations (FAO) projects that the world's population will increase to 8.8-9 billion by 2050. The population explosion will greatly increase the demand for food, especially protein food. However, depletion of natural resources and rising greenhouse gas emissions are limiting traditional agricultural production systems. Edible insect protein is a potential substitute protein.

 

Among the numerous food insects, the black soldier fly (Hermetia illucens, Diptera: Stratiomyidae) is one of the most promising new protein-resource insects for large-scale and commercial production. Black soldier fly larvae (BSFL) have advantages of high protein content (35-40%, measured by dried larvae), high feed conversion rate, low water consumption, wide and cheap feed sources and low greenhouse gas emissions during breeding.

 

People's acceptance of insects as a direct food is low. However, if the insect protein and fat are extracted respectively first as raw materials of food, the acceptance will be greatly improved. Killing possible microorganisms in the processing process can improve its safety level. Therefore, one of the future directions of the edible insect industry will be providing products such as insect protein powder and fat to the market.

 

In this study, the ultrasonic-assisted extraction method was applied to the alkaline extraction of protein (BSFLP) from the black soldier fly larvae. The effects of ultrasonic-assisted extraction on main nutrients, molecular weight distribution, in vitro digestibility, amino acid composition, process function and structure of BSFLP were studied. The difference between ultrasonic assisted extraction and traditional hot alkali extraction was compared. The aim of this study is to develop a better extraction method for BSFLP and promote its application in the food and feed industry.

 

2 Experimental Design

Table 1 Design of three extraction methods and corresponding protein extraction rates

image.png

U0 is the control group with ultrasonic power of 0; UL is ultrasonic assisted alkaline extraction; NA is traditional hot alkali extraction.


3 Nutritional Value

Table 2 Main nutrients of BSFLP obtained from defatted larvae meal and different extraction methods

image.png

P-U0, P-UL and P-NA were the control groups with ultrasonic power of 0, ultrasonic assisted alkaline extraction and traditional hot-alkali extraction respectively.



While obtaining high extraction rate (80.37%), ultrasonic assisted alkaline extraction (UL) can obtain more than 80% purity of black soldier fly larvae protein.

 

Table 3 Amino acid composition of BSFLP obtained by different extraction methods

image.png


Table 4 Essential Amino Acid Scores (AAS) of BSFLP obtained by different extraction methods

image.png


The BSFLP obtained by different extraction methods were all in line with the adult essential amino acid scoring model proposed by the Food and Agriculture Organization of the United Nations (FAO) in 2013. BSFLP, like albumen, has an ideal amino acid balance and meets the amino acid needs of adults.

 

Most of the livestock demands the same essential amino acids as human beings do (http://www.dairyfarmer.com.cn/kxyn_nncs/2013-02-06/79183.chtml), which complies with the requirements. In addition, BSFLP can also supplement the limiting amino acids of Whey protein and enhance the absorption of amino acids.


image.png

Figure. 1 Protein digestibility in vitro of defatted meal and different extraction methods of BSFLP


In vitro simulated digestion can effectively evaluate protein bioavailability. The protein digestibility of defatted larvae meal in vitro was 78.74%. After protein extraction, the protein digestibility of P-U0, P-UL and P-NA were 82.97%, 99.79% and 79.24% respectively. Ultrasonic-assisted alkaline extraction can greatly improve the in vitro digestibility of protein in the black soldier fly larvae.


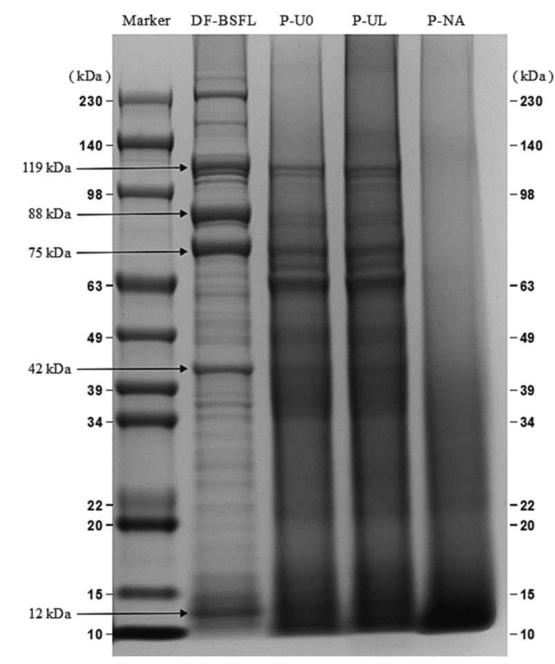
image.png

Figure. 2 Molecular weight distribution of proteins of defatted meal and different extraction methods of BSFLP

 

Ultrasonic-assisted extraction did not result in obvious hydrolysis of black soldier fly larvae protein, while traditional hot-alkali extraction produced a large amount of hydrolysis.


image.png

Figure. 3 The surface morphology of BSFLP obtained by three extraction methods

 

Ultrasound-assisted extraction of BSFLP has a more porous micro-surface topography.

 

4 Conclusion

Ultrasound-assisted alkaline extraction may be a suitable method to extract BSFL protein and improve its nutritional value, structure and technical function. The results of this study can promote the application of BSFL protein in food and feed industry.

 

5 Reference

Xu, J. H., Xiao, S., Wang, J. H., Wang, B., Cai, Y. X., & Hu, W. F. (2023). Comparative study of the effects of ultrasound-assisted alkaline extraction on black soldier fly (Hermetia illucens) larvae protein: Nutritional, structural, and functional properties. Ultrasonics Sonochemistry, 101, 106662.https://doi.org/10.1016/j.ultsonch.2023.106662.